Dobrodošli u ordinaciju gde osmeh postaje umetnost
Stomatološka ordinacija TIA DENTICO nalazi se u Beogradu i već gotovo dve decenije pruža vrhunsku
stomatološku negu, oslanjajući se na stručnost, inovaciju i iskrenu posvećenost svakom pacijentu.
Spoj medicine i umetnosti čini ovu ordinaciju jedinstvenim mestom gde se funkcionalnost, zdravlje i
lepota susreću.
Vaš osmeh je naša inspiracija.
Naš tim stomatologa
Naš tim čine doktori i specijalisti iz svih oblasti stomatologije, sa zajedničkim ciljem – da vam obezbede najviši nivo usluge, uz pristup koji je prilagođen upravo vama. Verujemo da pravi kvalitet ne leži samo u znanju i tehnologiji, već i u pažnji, vremenu i razumevanju koje posvećujemo svakom pacijentu.
Prof. dr sci Ankica Mitić
Specijalista stomatološke protetike
Br. licence: 101087
Dr spec. Tatjana Mitić
Specijalista ortopedije vilica
Br. licence: 302749
Naše usluge
Protetika
Protetika je grana stomatologije koja se bavi rekonstrukcijom i nadoknadom zubnih tkiva usled nedostatka ili gubitka zuba, ili dela zuba
Oralna hirurgija
Oralna hirurgija obuhvata hirurške zahvate u usnoj duplji. Usko je povezana sa drugim granama dentalne medicine, kao što su dentalna protetika i implantologija
Implanti
Dentalni implantati predstavljaju efikasno rešenje za nadoknadu zuba. Vraćaju funkcionalnost, estetski izgled i sposobnost pravilnog govora
Parodontologija
Parodontologija je stomatološka grana koja se bavi lečenjem potpornog aparata zuba – gingive (zubnog mesa), kosti, cementa zuba i parodontalnog ligamenta
Dečija stomatologija
Dečija stomatologija je grana stomatologije koja se bavi prevencijom, dijagnostikom i lečenjem bolesti zuba, desni i usta kod dece, od najranijeg uzrasta pa sve do tinejdžerskih godina.
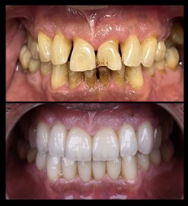
Estetska Stomatologija
Savremena estetska stomatologija koristi materijale vrhunskog kvaliteta koji verno imitiraju prirodan izgled zuba
Ortodoncija
Ispravljanje nepravilnog položaja zuba i neadekvatnog zagrižaja kod dece, tinejdžera i odraslih uspešno se postiže korišćenjem mobilnih i fiksnih ortodontskih aparata dostupnih u našoj ordinaciji
Opšta stomatologija
Opšta stomatologija uključuje sve stomatološke tretmane koji se bave lečenjem zuba i korena, tj. endodoncijom, restauracijom zuba, plombama i čišćenjem plaka i kamenca
Skener i snimanje zuba
U našoj ordinaciji, precizna dijagnostika je temelj svakog uspešnog terapijskog postupka. Zbog toga snimanje zuba zauzima važno mesto u protokolu rada, naročito kada je reč o endodontskom (kanalnom) lečenju zuba






